Etiqueta: segunda guerra mundia
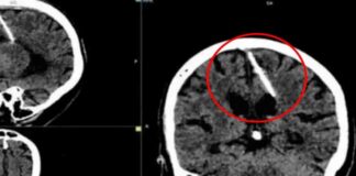
Abuelita descubre que llevó una aguja en el cerebro por 80...
Lo que era un chequeo médico rutinario se convirtió en una pesadilla luego de que especialistas hallaron una aguja de 3 centímetros de largo...
Buzo encuentra un avión de la Segunda Guerra
Un buzo se sumergió en las profundas aguas frente a la costa de Croacia y logró capturar impactantes imágenes de un avión derribado de...




























